Tooth whitening & Mouth Guards

Tooth whitening is a great treatment to have if you want a smile makeover with no fuss.
In fact it’s one of the easiest treatments you could pursue to get back a brighter smile, and more importantly your confidence.
There are many reasons why our teeth can become duller looking or have high staining. Tooth whitening put simply can give you a brighter smile, and overall boost your confidence.
It’s a cost effective treatment as the trays we make you can last for many years with the correct maintenance and care.
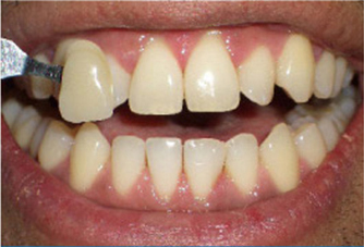
There are numerous ways your dentist can offer tooth whitening, but here at Oak Tree we offer the ‘Home Tray system’ where we simply take impressions of your upper and lower teeth, make an ultra slim, comfortable plastic tray, and then we show you how to use the bleaching gel that then goes inside the tray. We also advise you in what food/drinks to avoid during and immediately after treatment so you can keep that bright smile.
It’s the simplest technique in getting a brighter smile, its 100% safe and can achieve some great results in a quick time frame!
The treatment is completely safe and comfortable, with patients finding only a slight sensitivity during the whitening process which does decrease once you stop whitening your teeth.
The great benefit of whitening your teeth yourself is that you’re in control so if you do experience some sensitivity during treatment, you can start and stop whenever you choose to do so. We always have a good stock of bleaching gel here at the practice so you’ll never be without it. Each additional tube of bleaching gel after the initial treatment are £25.00 per tube.
We do recommend a visit to the hygienist to remove any hardened staining from tea, coffee, red wine, or smoking before you start your whitening treatment. This will ensure the effectiveness of the gel and the treatment overall.
We are currently using 'Boutique' Whitening Gels which are 16% Carbamide Peroxide. This is the highest concentration of whitening gel available in a safe manner in the UK.
Bruxism-Teeth grinding and Jaw Clenching

Bruxism, commonly called Teeth grinding, refers to individuals who grind their teeth together or clench their jaw. This can cause mild to severe pain in the jaw, the teeth and can cause headaches, facial pain including ear ache.
While the cause of grinding or clenching your teeth is unclear it is often apparent in heightened times of stress, anxiety or during sleep problems.
Clenching and grinding can also be transient and the problem relieve itself in some cases where stress and anxiety can be reduced, breaking this problematic habit.
We recommend trying these therapies at home:
- Use a heat pack or hot water bottle wrapped in a warm damp towel can improve function and reduce pain. Be careful not to burn yourself!
- Use a Ice pack to reduce inflammation, promote healing and numb pain. Never use an ice pack directly on the face, wrap in something first, and only use this for 10-15 mins at a time.
- Relaxation techniques can aid in dealing with the painful effects of grinding and clenching. Deep slow breathing can modulate pain sensations.
- Sleep on your side using a pillow between your neck and shoulders.
- Keeping to a soft diet when you have limited or painful opening of the jaw. Chewy foods stretches the jaw and can increase jaw inflammation so should be avoided until healing occurs.
- Over the counter medicines: Paracetamol & Ibuprofen can be taken in conjunction (if you can take these) to aid in temporary pain relief. A GP can prescribe stronger medications or muscle relaxants should you feel need further pain relief.
Pain and stiffness in the jaw and muscular pain caused by grinding and clenching can lead to problems with Jaw having lasting effects. Bruxism can also lead to tooth wear and broken teeth and fillings, not to mention heightened sensitivity of your teeth. Highlighting this problem with your dentist is beneficial because we can then understand why you may have experienced these things, and we can aim to provide a solution to this problem by way of introducing a Bite/Mouth Guard.
Not only does a Mouth Guard reduce the sensation of clenching and grinding, it can prop open your ‘freeway space’- the natural gap between your teeth when your teeth are in a relaxed position. A Mouth guard can also prevent any continued wear to your teeth. Instead you will be grinding on thick rubbery material until hopefully the habit of bruxism can be broken.
If you still have the painful symptoms from Bruxism, the first and simplest way to address this dysfunction is to take an impression of either your upper or lower arch and make you a mouth guard. The turnaround is fairly fast as we make them on site at the practice. However if you need a sturdier material or more intricate guard we will use our laboratory.
In severe case of grinding, clenching and more serious jaw disorders, a referral to a specialist in this area will be discussed.

https://www.nhs.uk/conditions/temporomandibular-disorder-tmd/



